Gusi Bengkak (Gingivitis): Penyebab, Gejala, Obat, dan Cara Mengatasinya
Gusi bengkak (gingivitis) adalah peradangan pada gusi (jaringan gingiva) yang biasanya terjadi karena penumpukan plak di sekitar garis gusi. Kondisi ini sering membuat gusi merah, nyeri ringan, mudah berdarah saat menyikat gigi atau flossing.
Kabar baiknya: gingivitis umumnya bisa pulih bila ditangani lebih awal dengan pembersihan plak/karang gigi dan kebiasaan perawatan mulut yang benar. Namun jika dibiarkan, gingivitis bisa berkembang menjadi periodontitis (infeksi gusi yang lebih berat) yang dapat merusak jaringan penyangga gigi dan membuat gigi goyang atau tanggal putus).
Gejala gusi bengkak (gingivitis)
Gejala bisa ringan sampai jelas. Yang paling sering:
- Gusi merah dan bengkak di sekitar gigi
- Gusi mudah berdarah saat menyikat gigi atau flossing
- Bau mulut atau rasa tidak enak di mulut
- Gusi terasa lebih sensitif atau tidak nyaman
Jika ada nanah, nyeri berdenyut kuat, bengkak menyebar ke pipi, atau demam, itu bisa menandakan infeksi yang lebih serius dan perlu dinilai dokter gigi segera.
Penyebab paling umum: plak dan karang gigi
Penyebab utama gingivitis adalah plak (lapisan lengket berisi bakteri dan sisa makanan) yang menempel di gigi dan garis gusi. Bila plak tidak dibersihkan tiap hari, ia bisa mengeras menjadi karang gigi (tartar/kalkulus) dan hanya bisa dibersihkan dengan tindakan profesional oleh dokter gigi atau dental hygienist.
Faktor yang meningkatkan risiko gusi bengkak
- Merokok (faktor risiko besar dan membuat terapi kurang efektif)
- Perubahan hormon (pubertas, hamil, menstruasi, menopause)
- Diabetes atau kondisi yang menurunkan imunitas
- Mulut kering, pemakaian obat tertentu
- Kebersihan gigi kurang baik (jarang sikat gigi, tidak membersihkan sela gigi)
Bedanya gingivitis vs periodontitis
Gingivitis = peradangan gusi tahap awal. Biasanya belum merusak tulang dan masih bisa pulih dengan perawatan yang tepat.
Periodontitis = tahap lanjut. Terjadi kerusakan jaringan penyangga gigi dan dapat menyebabkan kantong gusi makin dalam, gigi goyang, hingga kehilangan gigi.
Gingivitis = gusi meradang (reversible).
Periodontitis = infeksi + kerusakan penyangga gigi (lebih serius).
Diagnosis: apa yang dilakukan dokter gigi?
Dokter gigi biasanya akan:
- Melihat tanda peradangan (merah, bengkak, perdarahan)
- Mengukur kedalaman kantong gusi dengan probe
- Menilai plak/karang gigi dan lokasi yang sulit dibersihkan
- Jika perlu, melakukan rontgen untuk melihat kondisi tulang penyangga gigi
Pengobatan gingivitis (yang paling efektif)
1) Pembersihan profesional (scaling)
Langkah utama untuk menghentikan gingivitis adalah membersihkan plak dan karang gigi secara menyeluruh. Karang gigi tidak bisa hilang hanya dengan sikat gigi di rumah.
2) Perawatan harian di rumah (kunci supaya tidak kambuh)
- Sikat gigi 2x sehari (2 menit, sikat lembut)
- Bersihkan sela gigi (floss atau interdental brush) — terbukti lebih efektif daripada sikat gigi saja untuk menurunkan plak dan gingivitis
- Gunakan pasta gigi berfluoride
3) Obat kumur: kapan perlu?
Beberapa kondisi memerlukan obat kumur antiseptik (misalnya chlorhexidine) untuk jangka pendek. Ini bisa membantu menurunkan plak/gingivitis, namun sebaiknya atas arahan tenaga kesehatan karena dapat menyebabkan noda pada gigi dan perubahan rasa bila dipakai lama.
Cara aman di rumah untuk meredakan gusi bengkak
Ini langkah sederhana yang umumnya aman:
- Kumur air garam hangat 1–2x sehari (jangan terlalu asin)
- Kompres dingin dari luar pipi bila bengkak (10 menit, jeda, ulang)
- Makan makanan lembut sementara, hindari pedas/keras
- Minum cukup air, kurangi rokok
Kapan harus segera ke dokter gigi?
- Bengkak makin besar atau menyebar ke pipi/leher
- Nyeri berdenyut kuat, sulit membuka mulut, sulit menelan
- Ada nanah, bau mulut tajam, atau rasa “pahit” menetap
- Demam, lemas, atau gigi terasa goyang
- Keluhan tidak membaik dalam 3–5 hari meski sudah menjaga kebersihan mulut
Pencegahan gusi bengkak (supaya tidak kambuh)
- Sikat gigi 2x sehari + bersihkan sela gigi setiap hari
- Scaling rutin sesuai anjuran dokter gigi
- Berhenti merokok :contentReference
- Kontrol gula darah bila punya diabetes
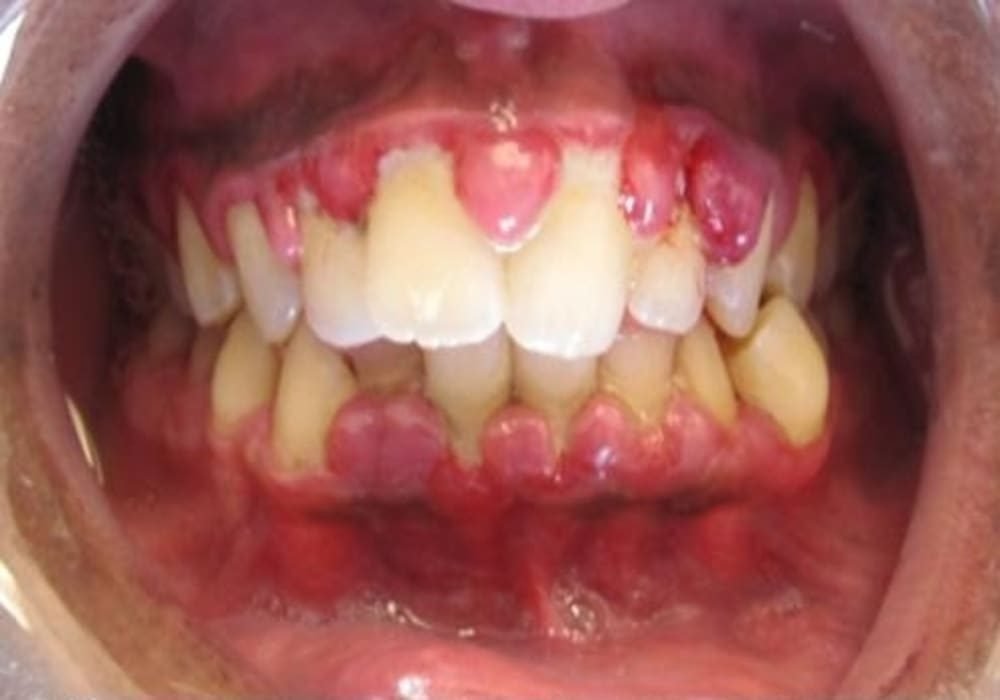
Kasus gusi bengkak (gingivitis) yang parah. Sumber foto: Wikimedia Commons
Sumber tepercaya
- NIDCR – Gum (Periodontal) Disease
- CDC – Gum (Periodontal) Disease
- American Dental Association (MouthHealthy) – Gingivitis
- NHS – Gum disease
Disclaimer: Artikel ini edukasi, bukan pengganti konsultasi dokter gigi. Jika Anda mengalami nyeri berat, bengkak menyebar, demam, atau ada nanah, segera periksa.
Penyakit dari A – Z – Daftar Lengkap, Nama, Jenis, Solusi, Pencegahan, Saran

