Korioretinopati Serosa Sentral
Korioretinopati serosa sentral adalah cairan yang terakumulasi di ruang subretina. Ini adalah penyakit mata yang menyebabkan gangguan penglihatan, biasanya bersifat sementara, biasanya pada satu mata.
Gejala
Gejala khas retinopati sentralis serosa adalah:
- Gangguan penglihatan ringan
- Penglihatan kabur
- “Bintik abu-abu-hitam” (skotoma) di bidang visual (sensitivitas kontras berkurang)
- Distorsi gambar (metamorphopsia)
- Rabun jauh (hiperopia)
- Gangguan penglihatan warna
Gejala bervariasi tergantung pada luas dan lokasi elevasi retina. Kebocoran di area retina sentral ( makula ) mengakibatkan distorsi yang kuat. Untuk kebocoran yang terjadi di luar makula, hanya terdapat bintik-bintik kecil atau cincin berwarna warni yang kadang-kadang terlihat. Ini bisa sangat terlihat saat berkedip dan dalam kondisi setengah gelap, di depan meja di layar dan saat melihat area putih.
Saat bekerja dengan tabel, juga mudah untuk melihat distorsi dari garis lurus ke gelombang dan lengkungan. Pada awalnya Anda biasanya hanya memiliki perasaan sedikit silau – tetapi ini hanya di satu sisi dan tidak hilang dalam beberapa menit, seperti yang biasa Anda lakukan.
Evolusi
Dalam kebanyakan kasus, penyakit ini sembuh secara spontan antara 1 dan 4 bulan. Ini adalah bentuk akut yang paling umum pada subjek muda. Itu tidak memerlukan perawatan.
Jika setelah periode ini tidak ada perbaikan, pengobatan dapat diusulkan. Kadang-kadang pengobatan ditawarkan lebih awal jika kebutuhan visual pasien memerlukannya (misalnya karena alasan profesional).
CRSC dapat berulang dalam beberapa bulan atau tahun berikutnya.
Beberapa bentuk CRSC memiliki perjalanan kronis yang kambuh, mempengaruhi kedua mata. Mereka kemudian membentuk patologi yang disebut “epiteliopati retina difus” yang prognosis fungsionalnya dicadangkan.
Perawatan
Hal ini dianggap tidak adanya penyembuhan spontan setelah 4 bulan evolusi.
– Fotokoagulasi titik hilang yang terlihat pada angiografi jika titik hilang ini berada di luar sumbu visual.
– Fototerapi dinamis dengan visudyne off-label.
– Perawatan medis dengan Eplerenone atau Spironolactone sedang dievaluasi.
Penyakit dari A-Z & Daftar Lengkap, Nama, Jenis, Contoh
Nama Obat dan Untuk Penyakit Apa ? – Daftar Nama Obat Esensial diterbitkan oleh Organisasi Kesehatan Dunia (WHO)
Bacaan Lainnya
- Tips Makanan Sehat untuk Diabetes
- Olahraga Peninggi Badan Sebelum Tidur dan Bisa Dilakukan di Rumah
- Sakit Punggung: Penyebab, gejala, pencegahan dan perawatan
- Penyebab Dan Cara Mengatasi Iritasi Atau Lecet Akibat Pembalut Wanita
- Sistem Reproduksi Manusia, Hewan dan Tumbuhan
- Kapan Harus Mulai Untuk Periksa Mata? Dan Berapa Sering? | 8 Tanda Anda Mungkin Membutuhkan Periksa Mata
- Kesehatan Mental Anak Remaja | Kesehatan mental pada masa remaja mengikuti kita seumur hidup
- Vitamin dan Mineral Penting untuk Kesehatan dan Dibutuhkan Tubuh Anda
- Penyakit Mata dan Masalah Mata Pada Umumnya
- Vitamin | 13 Jenis + Fungsi Vitamin Penting Yang Dibutuhkan Oleh Tubuh
- Makanan Rendah Lemak Yang Cocok dan Baik Untuk Kesehatan Anda
Unduh / Download Aplikasi HP Pinter Pandai
Respons “Ooo begitu ya…” akan sering terdengar jika Anda memasang applikasi kita!
Siapa bilang mau pintar harus bayar? Aplikasi Ilmu pengetahuan dan informasi yang membuat Anda menjadi lebih smart!
Informasi: Pinter Pandai bukan sebagai pengganti Dokter. Jika Anda memiliki tanda-tanda atau gejala-gejala di atas atau pertanyaan lainnya, konsultasikanlah dengan dokter Anda. Tubuh masing-masing orang / individu berbeda. Selalu konsultasikan ke Dokter untuk menangani kondisi kesehatan Anda.
Sumber bacaan: Cleverly Smart, American Academy of Ophthalmology, The American Society of Retina Specialists
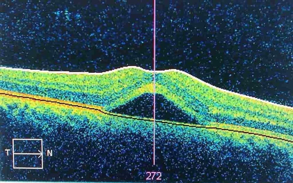
Sumber foto: Author Russell Neches (Rneches) / Wikimedia Commons (CC BY-SA 3.0)
Title (judul): Central serous retinopathy.
Penjelasan foto: ini merupakan kejadian retinopati serosa sentral di retinanya (juga disebut koroidopati serosa sentral) menyebabkan pembengkakan seperti lepuh di lapisan retina. Dicitrakan menggunakan tomografi koherensi optik dengan mesin Zeiss Visate OCT. Sayangnya, perangkat lunak tidak memungkinkan ekspor data dengan mudah, jadi ini adalah gambar tampilan kamera ponsel.
Pinter Pandai “Bersama-Sama Berbagi Ilmu”
Quiz | Matematika | IPA | Geografi & Sejarah | Info Unik | Lainnya | Business & Marketing

