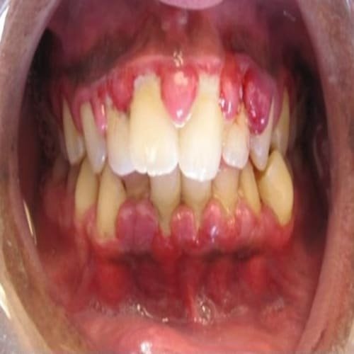
Gusi Bengkak (Gingivitis)
Gingivitis atau gusi bengkak merupakan suatu inflamasi atau peradangan yang mengenai jaringan lunak di sekitar gigi atau jaringan gingiva.
Gusi bengkak bisa disebabkan oleh beberapa hal seperti infeksi. Umumnya keluhan gusi bengkak bisa diikuti gejala lain seperti munculnya nanah di bawah gusi atau gigi, bau napas tidak sedap, dan rasa yang tidak enak di dalam mulut. Gejala-gejala ini merupakan gejala dari berkembangnya suatu kondisi yang bernama periodontitis.
Gejala gusi bengkak (gingivitis)
Umumnya terlihat inflamasi atau peradangan yang mengenai jaringan lunak di sekitar gigi atau jaringan gingiva disebut gingivitis. Kondisi kronis maupun akut dapat menghasilkan perubahan pada konsistensi gingiva normal yang kaku dan tegas. Peradangan gingiva terjadi resesi ke apikal menyebabkan celah menjadi lebih lebar dan meluas ke permukaan akar.
Penyebab dan gusi bengkak (gingivitis)
Faktor pertama dari dari gingivitis adalah plak. Plak gigi adalah deposit lunak yang membentuk biofilm yang menumpuk kepermukaan gigi atau permukaan jaringan keras di rongga mulut.
Penggunaan antibiotik yang berspektrum luas secara berkepanjangan juga merupakan salah satu faktor risiko. Kondisi tersebut dapat terjadi pertumbuhan mikroorganisme secara berlebihan khususnya jamur dan bakteri.
Apa Perbedaan Antara Gingivitis dan Periodontitis?
Gingivitis (radang gusi atau gusi bengkak) biasanya mendahului periodontitis (penyakit gusi). Namun, penting untuk diketahui bahwa tidak semua gingivitis berkembang menjadi periodontitis.
Pada tahap awal gingivitis, bakteri dalam plak menumpuk, menyebabkan gusi menjadi meradang dan mudah berdarah saat menyikat gigi. Meskipun gusi dapat teriritasi, gigi masih tertanam kuat di dalam rongganya. Tidak ada kerusakan tulang atau kerusakan jaringan lain yang terjadi pada tahap ini.
Cara mendiagnosis gingivitis
Saat pemeriksaan gigi, dokter gigi akan memeriksa beberapa hal, seperti:
Perdarahan, pembengkakan, kekuatan, dan kantong gigi (jarak antara gusi dan gigi, semakin besar dan dalam kantong gigi maka semakin parah penyakit yang dialami).
Gerakan dan sensitivitas gigi.
Tulang rahang, untuk mendeteksi kerusakan tulang di sekitar gigi.
Pengobatan gingivitis
Pengobatan gusi bertujuan untuk membuat kondisi gusi kembali sehat dengan mengurangi pembengkakan, kedalaman kantong gigi, risiko infeksi, hingga menghentikan perkembangan penyakit. Pilihan pengobatan tergantung pada tingkat keparahan penyakit yang dialami.
Gingivitis dapat diobati dengan membersihkan plak dan karang gigi secara seksama. Perawatan gigi atau membersihkan karang gigi dapat dilakukan oleh dokter secara berkala setidaknya 2 kali dalam setahun.
Menyikat gigi dan melakukan flossing juga dapat membantu menghilangkan sisa-sisa makanan yang menempel pada gigi dan di bawah garis gusi. Selain itu, menurut American Dental Association, menggunakan obat kumur gigi dapat mengurangi bakteri penyebab plak dan penyakit gusi.
Di samping melakukan pengobatan medis, pasien juga dapat melakukan beberapa langkah sederhana untuk mengurangi risiko penyakit gusi, seperti:
- Berhenti merokok. Merokok merupakan salah satu faktor risiko terbesar penyakit periodontitis. Para perokok berisiko 7 kali mengalami penyakit gusi.
- Mengurangi stres. Stres menyebabkan sistem imun tubuh sulit menangkal infeksi.
- Konsumsi makanan sehat. Mengonsumsi makanan yang sehat dapat membantu sistem imun tubuh menangkal infeksi. Konsumsi makanan kaya antioksidan, seperti mengandung vitamin E (sayur-sayuran hijau, kacang-kacangan), dan vitamin C (jeruk, brokoli, kentang).
- Hindari mengepalkan dan menggertakan gigi. Kebiasaan ini dapat merusak jaringan gigi.
Cara alami di bawah ini untuk membantu mengobati gusi bengkak agar cepat kempes
Gusi bengkak merupakan gangguan mulut yang cukup sering dialami sebagian orang. Jika hal tersebut terjadi, ada beberapa cara alami untuk mengobatinya.
Gusi yang bengkak biasanya ditandai dengan adanya bagian yang mengalami pembesaran, menonjol, dan menggelembung. Gusi bengkak biasanya dapat ditangani dengan memberikan perhatian pada kebersihan mulut. Coba cara alami di bawah ini untuk membantu mengobati gusi bengkak agar cepat kempes.
1. Kumur dengan air garam
Garam adalah obat gusi bengkak yang ampuh. Kamu cukup menyiapkan segelas air hangat dan mencampurkan satu sendok garam. Aduk hingga rata dan gunakan untuk berkumur. Gunakan 3 kali dalam sehari agar gusi bengkak dapat sembuh dengan cepat.
2. Kompres dengan es atau air hangat
Mengkompres gusi dengan es batu dapat digunakan ketika gusi bengkak tidak disertai nyeri atau berdenyut. Sementara gusi yang disertai nyeri dan berdenyut bisa menggunakan air hangat.
3. Kumur dengan lemon
Gusi bengkak dapat disebabkan oleh gigi yang berlubang. Dengan menggunakan lemon dapat membasmi bakteri penyebab gigi berlubang. Selain itu, kandungan asam pada lemon berfungsi untuk mengatur kadar keseimbangan pH dalam mulut. Kamu dapat berkumur menggunakan perasan air hangat yang telah dicampur perasan lemon dan gunakan 3 kali sehari.
4. Kumur dengan daun jambu biji
Cara agar gusi bengkak cepat kempes dapat menggunakan daun jambu biji. Daun jambu biji mengandung anti bakteri yang dapat menjaga kesehatan mulut. Kamu dapat merebus daun jambu biji dan gunakan air tersebut untuk berkumur.
5. Oles belimbing wuluh pada gusi
Belimbing wuluh juga bisa digunakan untuk membasmi bakteri yang ada di dalam mulut. Gunakan belimbing wuluh yang belum matang dan tumbuk hingga halus. Kemudian oleskan pada bagian gusi yang bengkak.
6. Tempel dengan bawang merah
Kuman penyebab gusi bengkak dapat diatasi dengan bawang merah. Bawang merah mengandung antiseptik alami yang dapat membunuh kuman. Caranya dengan menumbuk halus 1 siung bawang merah dengan satu sendok teh garam, kemudian tempelkan pada gusi yang bengkak.
7. Tempel dengan bawang putih
Bawang putih memiliki manfaat sebagai antiseptik alami untuk membantu mengobati gusi bengkak. Cara menggunakannya yaitu dengan menyiapkan 1 siung bawang putih dan 1 sendok teh garam. Tumbuk kedua bahan tersebut, kemudian tempelkan pada gusi yang sakit.
8. Oles minyak cengkeh
Kandungan yang dimiliki minyak cengkeh dapat mengurangi peradangan. Kamu dapat mengoleskan minyak cengkeh langsung pada gusi bengkak. Selain itu, kamu juga bisa berkumur dengan air yang telah diteteskan minyak cengkeh.
9. Mengoleskan Merica
Merica mengandung anti bakteri dan anti inflamasi yang dapat mengobati gusi bengkak. Campur merica dengan garam dan tuang sedikit air hingga berbentuk pasta. Kemudian oleskan pada gigi yang sakit penyebab gusi bengkak.
10. Menggunakan Asam Jawa
Cara mengobati gusi bengkak selanjutnya yaitu menggunakan asam jawa karena kandungan antiseptik yang dimilikinya. Caranya adalah dengan menyangrai biji asam jawa, kemudian tempelkan pada gigi yang sakit.
11. Mengoleskan madu alami
Madu mengandung zat yang dapat meredakan pembengkakan. Cukup oleskan madu pada bagian gusi yang sakit dan lakukan 3 kali hingga bengkak mulai kempes. Pastikan kamu menggunakan madu yang alami.
12. Kumur dengan air serai
Mengobati gusi bengkak bisa menggunakan serai. Caranya dengan merebus 2 tangkai serai dan gunakan air rebusan tersebut untuk berkumur.
13. Kumur dengan air jahe
Kandungan anti bakteri yang dimiliki jahe dapat membantu membasmi bakteri dalam mulut. Caranya dengan menggunakan air perasan jahe untuk berkumur.
14. Kumur dengan air kelapa
Air kelapa mengandung antiseptik alami yang dapat digunakan untuk mengobati gusi bengkak. Kamu bisa menggunakan air kelapa untuk berkumur sesudah melakukan gosok gigi.
15. Meneteskan getah jarak
Getah jarak juga memiliki kandungan antiseptik yang bisa mengobati gusi bengkak. Selain itu getah jarak juga memiliki antibiotik yang tinggi. Gunakan tetesan getah jarak langsung pada gigi yang sakit.
Itulah 15 cara yang bisa kamu gunakan untuk mengobati gusi bengkak. Jika gusi bengkak masih tidak mengalami perubahan, segera konsultasikan ke dokter untuk mendapatkan tindakan yang tepat. Bahaya gusi yang dibiarkan lama membengkak akan meningkatkan risiko terkena kanker kepala dan leher. Selamat mencoba!
Penyebab gingivitis
Penyebab utama gingivitis adalah penumpukan plak. Plak dapat terbentuk dari kumpulan bakteri dan sisa-sisa makanan yang menempel pada permukaan gigi. Lapisan tersebut akan hilang dengan menyikat gigi. Namun, jika dibiarkan menempel pada gigi, plak dapat mengeras dan membentuk karang gigi yang hanya bisa dibersihkan oleh dokter gigi.
Selain itu, terdapat beberapa hal yang menyebabkan gingivitis, yaitu:
- Perubahan hormon, yang dapat terjadi selama hamil, pubertas, menopause, dan menstruasi, menyebabkan gusi menjadi lebih sensitif sehingga membuat seseorang mudah terkena gingivitis.
- Penyakit yang memengaruhi kondisi gusi, seperti penyakit kanker, HIV, atau yang berkaitan dengan sistem imun. Termasuk mereka yang menderita diabetes, berisiko tinggi terkena infeksi, seperti penyakit periodontitis dan gigi berlubang.
- Pengaruh obat-obatan. Beberapa jenis obat-obatan, seperti obat antikonvulsant (Dilantin) dan obat anti-angina (Procardia dan Adalat), bisa menyebabkan pertumbuhan abnormal pada jaringan gusi.
- Kebiasaan merokok.
- Kesehatan mulut yang tidak terjaga, seperti malas menyikat gigi;
Riwayat kesehatan keluarga yang pernah mengalami penyakit gigi.

Tahapan dan tanda klinis Gingivitis – Gusi Bengkak
Gingivitis tahap I
Terjadi pelebaran pembuluh darah hal ini merupakan awal terjadinya gingivitis, akan tetapi secara klinis belum terlalu jelas (sub klinis). Gambaran histologi: leukosit dan netrofil PMN meninggalkan kapiler dengan cara bermigrasi melewati dinding kapiler sehingga jumlahnya meningkat pada jaringan penghubung Junctional epitelium dan sulcus gingiva.
Gingivitis tahap II
Tanda klinis: Adanya kemerahan (hiperemi sudah terlihat ) terjadinya pendarahan pada saat probing . Histologi: infiltrasi leucosit dalam jaringan konektive dibawah junctional epitelium leukasit +_ 75% dan netrofil yang bermigrasi sebagai mana juga sel-sel plasma.
Gingivitis tahap III
Bertambah beratnya lesi inflamasi, aliran darah bertambah lambat, warna gingiva menjadi merah kebiruan. Perbedaan gingivitis tahap II dan III meningkatnya jumlah sel plasma yang berubah menjadi sel inflamasi sel plasma akan menginvasi ke konective tissue tidak hanya dibawah junctional epitelium, akan tetapi ke jaringan yang lebih dalam sekitar pembuluh darah terjadinya pelebaran pada junctional epitelium dan pada ruangan interseluler diisi dengan granuler seluler yaitu lisosom yang berasal dari netrofil yang hancur, limfosit dan monosit, lisosom ini mengandung asam hidrolase yang dapat merusak komponen jaringan. Aktivitas genolitic meningkat pada inflamasi jaringan gingiva oleh enzim kologenase.
Gusi bengkak atau Radang gusi (Gingivitis)
Gingivitis adalah bentuk penyakit periodontal paling ringan. Ini menyebabkan gusi menjadi merah, bengkak, dan mudah berdarah. Biasanya ada sedikit atau tidak ada rasa tidak nyaman pada tahap ini. Gingivitis sering disebabkan oleh kebersihan mulut yang tidak memadai. Gingivitis dapat disembuhkan dengan perawatan profesional dan perawatan di rumah yang baik.
Faktor-faktor yang mungkin berkontribusi terhadap radang gusi termasuk, diabetes, merokok, penuaan, kecenderungan genetik, penyakit dan kondisi sistemik, stres, nutrisi yang tidak memadai, pubertas, fluktuasi hormon, kehamilan, penyalahgunaan zat, infeksi HIV, dan penggunaan obat-obatan tertentu.
Penyakit Gusi (Periodontitis)
Gingivitis yang tidak diobati dapat berlanjut ke periodontitis. Seiring waktu, plak dapat menyebar dan tumbuh di bawah garis gusi. Racun yang dihasilkan oleh bakteri dalam plak mengiritasi gusi. Racun merangsang respons peradangan kronis di mana tubuh pada dasarnya menyala dengan sendirinya, dan jaringan dan tulang yang mendukung gigi dipecah dan dihancurkan.
Gusi terpisah dari gigi, membentuk kantung (ruang antara gigi dan gusi) yang terinfeksi. Seiring perkembangan penyakit, kantong semakin dalam dan lebih banyak jaringan dan tulang gusi dihancurkan. Seringkali, proses destruktif ini memiliki gejala yang sangat ringan. Akhirnya, gigi bisa menjadi longgar dan mungkin harus dicabut.
Periodontitis adalah infeksi gusi yang merusak jaringan lunak dan tulang penyangga gigi. Kondisi ini perlu segera diobati karena dapat menyebabkan gigi tanggal.
Ada banyak bentuk periodontitis. Yang paling umum termasuk yang berikut ini:
- Periodontitis agresif terjadi pada pasien yang dinyatakan sehat secara klinis. Penyakit umum termasuk kehilangan perlekatan yang cepat dan kerusakan tulang gigi.
- Periodontitis kronis menyebabkan peradangan di dalam jaringan pendukung gigi, perlekatan progresif dan keropos tulang gigi. Ini adalah bentuk periodontitis yang paling sering terjadi dan ditandai oleh pembentukan kantung dan / atau resesi gingiva. Ini lazim pada orang dewasa, tetapi dapat terjadi pada usia berapa pun. Progresi kehilangan perlekatan gusi biasanya terjadi secara lambat, tetapi periode perkembangan yang cepat dapat terjadi.
- Periodontitis sebagai manifestasi penyakit sistemik sering dimulai pada usia muda. Kondisi sistemik seperti penyakit jantung, penyakit pernapasan, dan diabetes dikaitkan dengan bentuk periodontitis ini.
- Penyakit periodontal nekrotikans adalah infeksi yang ditandai oleh nekrosis jaringan gingiva, ligamen periodontal, dan tulang alveolar. Lesi ini paling sering diamati pada individu dengan kondisi sistemik seperti infeksi HIV, kekurangan gizi dan penekanan kekebalan.
Gejala penyakit gusi
Bau mulut yang tidak akan hilang
Gusi merah atau bengkak
Gusi yang lembut atau berdarah
Mengunyah yang menyakitkan
Gigi lepas
Gigi sensitif
Gusi menyusut atau gigi yang lebih panjang
Kembali ke atas
Diagnosa penyakit gusi
Pada kunjungan gigi, dokter gigi atau ahli kesehatan gigi akan:
Periksa gusi Anda dan perhatikan tanda-tanda peradangan.
Gunakan penggaris kecil yang disebut “probe” untuk memeriksa dan mengukur setiap kantong di sekitar gigi. Dalam mulut yang sehat, kedalaman kantong ini biasanya antara 1 dan 3 milimeter. Tes kedalaman “kantong saku” ini biasanya tidak menyakitkan.
Tanyakan tentang riwayat kesehatan Anda untuk mengidentifikasi kondisi atau faktor risiko (seperti merokok atau diabetes) yang dapat berkontribusi terhadap penyakit gusi.
Profesional gigi juga dapat:
Lakukan rontgen untuk melihat apakah ada keropos tulang.
Merujuk Anda ke periodontist. Periodontis adalah ahli dalam diagnosis dan perawatan penyakit gusi dan dapat memberi Anda pilihan perawatan yang tidak ditawarkan oleh dokter gigi Anda.
Pencegahan penyakit gusi
Cara terbaik mencegah periodontitis adalah menjaga kebersihan mulut dengan baik secara konsisten seperti menyikat gigi secara teratur. Selain itu secara rutin periksakan kondisi gigi anda ke dokter gigi.
Pengobatan penyakit gusi
Tujuan utama pengobatan adalah untuk mengendalikan infeksi. Jumlah dan jenis perawatan akan bervariasi, tergantung pada luasnya penyakit gusi. Semua jenis perawatan mengharuskan pasien menjaga perawatan harian yang baik di rumah. Dokter gigi mungkin juga menyarankan untuk mengubah perilaku tertentu, seperti berhenti merokok, sebagai cara untuk meningkatkan hasil perawatan Anda.
Perawatan Non Bedah
Perawatan non bedah yang dapat dilakukan untuk memperbaiki kondisi periodontitis, antara lain:
1. Scaling
Scaling merupakan tindakan untuk menghilangkan kalkulus dan bakteri dari permukaan gigi dan di bawah gusi. Hal tersebut dapat dilakukan oleh dokter gigi dengan menggunakan instrumen atau perangkat ultrasonik.
2. Root planing
Root planing merupakan tindakan menghaluskan permukaan akar, dan mengecilkan penumpukan kalkulus lebih lanjut.
3. Antibiotik
Dokter gigi atau dokter gigi spesialis periodonsia mungkin akan meresepkan penggunaan antibiotik topikal atau oral untuk membantu pengendalian infeksi bakteri. Antibiotik topikal umumnya menjadi pengobatan pilihan. Mereka dapat mencakup larutan kumur antibiotik atau penyisipan benang dan gel yang mengandung antibiotik dalam kantong di antara gigi dan gusi. Namun, antibiotik oral mungkin diperlukan untuk sepenuhnya menghilangkan bakteri penyebab infeksi.
Perawatan Bedah
Jika pasien memiliki periodontitis yang mungkin tidak merespon atau tidak membaik dengan perawatan non bedah dan kebersihan mulut yang baik. Pada kasus ini, pengobatan periodontitis mungkin memerlukan operasi gigi.
Penyakit dari A-Z & Daftar Lengkap, Nama, Jenis, Contoh
Nama Obat dan Untuk Penyakit Apa ? – Daftar Nama Obat Esensial diterbitkan oleh Organisasi Kesehatan Dunia (WHO)
Bacaan Lainnya
- 10 Cara Mengatasi Keringat Pada Ketiak Secara Efektif
- Destinasi Wisata Bali Yang Harus Dikunjungi
- 10 Obyek Wisata Paris Yang Harus Anda Kunjungi
- Cara Membeli Tiket Pesawat Murah Secara Online Untuk Liburan Atau Bisnis
- Puncak Gunung Tertinggi Di Dunia dimana?
- TOP 10 Gempa Bumi Terdahsyat Di Dunia
- Apakah Matahari Berputar Mengelilingi Pada Dirinya Sendiri?
- Test IPA: Planet Apa Yang Terdekat Dengan Matahari?
- 10 Cara Belajar Pintar, Efektif, Cepat Dan Mudah Di Ingat – Untuk Ulangan & Ujian Pasti Sukses!
- TOP 10 Virus Paling Mematikan Manusia
Unduh / Download Aplikasi HP Pinter Pandai
Respons “Ooo begitu ya…” akan lebih sering terdengar jika Anda mengunduh aplikasi kita!
Siapa bilang mau pintar harus bayar? Aplikasi Ilmu pengetahuan dan informasi yang membuat Anda menjadi lebih smart!
Sumber bacaan: Cleaveland Clinic, News Medical, Cancer, Harvard, Fight Colorectal Cancer, NCBI (National Center for Biotechnology Information) – U.S. National Library of Medicine, Healthline
National Institute of Dental and Craniofacial Research (NIDCR), National Hospital Service (NHS UK), Web MD, Medical News Today
Informasi penting tentang artikel kesehatan di PINTERpandai.com
Informasi perawatan / pengobatan yang diberikan di sini bukan kebijakan resmi dan tidak dimaksudkan sebagai saran medis untuk menggantikan keahlian dan penilaian tim Dokter perawatan kesehatan Anda. Ini dimaksudkan untuk membantu Anda dan keluarga Anda membuat keputusan berdasarkan informasi, bersama dengan dokter Anda. Dokter Anda mungkin memiliki alasan untuk menyarankan rencana perawatan yang berbeda dari opsi perawatan umum ini. Jangan ragu untuk bertanya kepadanya tentang pilihan perawatan Anda.
Kapan harus berkonsultasi dengan profesional kesehatan?
Informasi medis di www.PINTERpandai.com tidak berlaku untuk semua orang dan itu bukan saran medis. Jika Anda memiliki masalah medis, pastikan untuk menghubungi penyedia layanan kesehatan. Jika Anda merasa memiliki keadaan darurat medis, segera hubungi dokter Anda atau nomor darurat setempat atau nomor 112 dari HP Anda.
Pinter Pandai “Bersama-Sama Berbagi Ilmu”
Quiz | Matematika | IPA | Geografi & Sejarah | Info Unik | Lainnya | Business & Marketing
