Penjelasan Kanker Otak
Tumor otak adalah pertumbuhan sel di otak yang berkembang biak dengan cara yang abnormal dan tak terkendali. Kanker otak dinilai berdasarkan seberapa cepat mereka tumbuh dan seberapa besar kemungkinan mereka tumbuh kembali setelah perawatan. Stadium satu dan dua adalah grade rendah, dan grade tiga dan empat adalah stadium yang tinggi.
2 Jenis utama tumor otak
-
Tumor otak non-kanker (jinak)
Memiliki kadar rendah (grade 1 atau 2), yang berarti mereka tumbuh dengan lambat dan cenderung tidak kembali setelah perawatan.
-
Tumor otak kanker (ganas)
Golongan tinggi (kelas 3 atau 4) dan mulai dari otak (tumor primer) atau menyebar ke otak dari tempat lain (tumor sekunder); mereka lebih mungkin tumbuh kembali setelah perawatan
Gejala Kanker Otak
Gejala tumor otak bervariasi tergantung pada bagian otak yang tepat yang terkena. Gejala umum meliputi:
- Sakit kepala yang parah dan terus-menerus.
- Mual, muntah dan mengantuk terus-menerus.
- Perubahan mental atau perilaku, seperti masalah memori atau perubahan kepribadian.
- Kelemahan atau kelumpuhan progresif di satu sisi tubuh.
- Masalah penglihatan atau ucapan.
Kadang-kadang, Anda mungkin tidak memiliki gejala untuk memulai atau mereka mungkin hanya berkembang sangat lambat dari waktu ke waktu.
Gejala kanker ini sangat banyak dan tidak spesifik pada tumor otak, yang berarti bisa disebabkan oleh banyak penyakit lainnya. Satu-satunya cara untuk mengetahui dengan pasti apa yang menyebabkan gejalanya adalah menjalani tes diagnostik.
Kanker Otak Primer
Otak terdiri dari berbagai jenis sel.
- Beberapa kanker ini terjadi ketika satu jenis sel berubah dari karakteristik normalnya. Setelah diubah, sel-sel tumbuh dan berkembang biak dengan cara yang abnormal.
- Ketika sel-sel abnormal ini tumbuh, mereka menjadi massa, atau tumor.
- Tumor otak yang hasilnya disebut tumor otak primer karena berasal dari otak.
- Tumor otak primer yang paling umum adalah glioma, meningioma, adenoma hipofisis, schwannomas vestibular dan tumor neuroektodermal primitif (medulloblastoma). Istilah glioma termasuk glioblastoma, astrocytomas, oligodendrogliomas dan ependymomas.
Sebagian besar diberi nama berdasarkan bagian otak atau jenis sel otak tempat mereka muncul.
Pengobatan dan Perawatan Kanker Otak
Jika Anda memiliki tumor otak, perawatan yang disarankan akan tergantung pada:
- Jenis tumor.
- Di mana itu di otak Anda.
- Seberapa besar dan seberapa jauh penyebarannya.
- Seberapa abnormal sel-sel itu.
- Tingkat kesehatan dan kebugaran Anda secara keseluruhan.
Pengobatan untuk tumor otak meliputi:
- Steroid
- Operasi
- Radioterapi
- Kemoterapi
1. Pembedahan
Pembedahan adalah pengobatan standar untuk tumor otak, baik jinak maupun ganas. Ini dipertimbangkan dalam kasus di mana lokasi tumor memungkinkan.
Pembedahan juga dapat digunakan untuk tujuan dekompresi: kotak tengkorak menjadi tidak dapat diperpanjang, peningkatan volume isinya terkait dengan adanya tumor dapat menghasilkan terlalu banyak tekanan intrakranial dan akhirnya menjerumuskan pasien ke dalam koma.
Tujuan pembedahan adalah untuk mengangkat jaringan tumor yang cukup untuk membatasi risiko hipertekanan ini.
Pembedahan tidak selalu dianjurkan:
- Dalam kasus tumor jinak yang memiliki pertumbuhan lemah dan/atau yang menyebabkan sedikit gejala dan/atau yang memiliki lokalisasi yang kompleks, pemantauan rutin lebih disukai.
- Pembedahan hanya akan ditawarkan jika gejala muncul dan/atau jika tes pencitraan mengungkapkan perkembangan tumor;
- Dalam kasus tumor infiltrasi yang batasnya tidak dapat diidentifikasi dengan jelas, pembedahan bisa berbahaya dan tidak perlu;
- Dalam kasus tumor yang terletak di area yang sulit diakses dan/atau luas di jaringan otak dalam, prosedur ini mungkin berisiko.
- Pengobatan dengan radioterapi dan/atau kemoterapi kemudian lebih disukai. Pembedahan kadang-kadang bisa menjadi mungkin nanti. Ini disebut radioterapi dan/atau kemoterapi neo-adjuvant, artinya dilakukan sebelum operasi.
Dalam praktek
Operasi pengangkatan dilakukan dengan kraniotomi, dengan anestesi umum: rambut pasien pertama-tama dicukur dengan lebar kira-kira 1 cm di kedua sisi area yang akan diinsisi. Kulit tengkorak juga diiris dan dilipat ke belakang untuk memperlihatkan tulang di sebelah tumor. Tengkorak kemudian meninges terbuka beberapa sentimeter.
Ahli bedah kemudian dapat melakukan intervensi: dia mengangkat sebagian atau seluruhnya jaringan tumor. Meningen kemudian dijahit, tulang diistirahatkan dan disambungkan kembali ke bagian tengkorak lainnya dengan kabel atau ikatan logam. Akhirnya kulit dijahit untuk penyembuhan.
Untuk membuat operasi pengangkatan seakurat dan seminimal mungkin, ada beberapa bantuan teknis:
Navigasi saraf
Neuronavigation adalah sistem yang menggabungkan komputasi dan pencitraan medis. Itu memungkinkan untuk menemukan dan mengakses tumor dengan sangat presisi. Gambar 3D otak pertama kali direkonstruksi oleh komputer dari gambar yang diperoleh dengan MRI dan/atau pemindai. Berkat gambar ini, ahli bedah saraf dapat menentukan teknik pendekatan terbaik dan prosedur bedah yang paling sesuai dan paling tidak berisiko dalam hal gejala sisa. Ini juga memungkinkan dia untuk berlatih sebelum operasi melalui simulasi operasi.
Selama prosedur, sistem kamera mencocokkan gambar otak yang direkam secara langsung dengan gambar 3D yang telah direkonstruksi sebelumnya. Ahli bedah kemudian dapat mengarahkan instrumen bedahnya untuk menyesuaikan posisinya dengan yang telah direncanakan. Penjajaran gambar dapat dilihat pada layar monitor atau, jika operasi dilakukan menggunakan mikroskop, langsung di lensa mata. Dengan demikian, ablasi lebih tepat dan risiko yang terkait dengan intervensi lebih terkontrol, terutama bila tumornya kecil dan/atau terletak di wilayah otak yang berisiko mengalami gejala sisa.
Stimulasi kortikal
Ketika tumor dekat dengan area otak yang sangat jelas yang mengontrol fungsi-fungsi penting, ahli bedah dapat merangsang ini selama prosedur. Dengan stylus, dia mengirimkan pulsa kecil ke area sekitar tumor dan mengamati fungsi yang dikontrolnya: dia dapat mengidentifikasi lebih tepat yang terkait dengan fungsi penting dan yang harus dia hindari selama intervensi. Tergantung pada kasusnya, area fungsional otak, seperti keterampilan motorik, dapat dirangsang pada pasien yang sedang tidur. Yang lain, di sisi lain, meminta pasien untuk bangun (misalnya area bahasa). Dalam hal ini, pembedahan harus dilakukan pada pasien yang sadar, kemudian ditempatkan di bawah anestesi lokoregional. Dengan demikian, ahli bedah dapat mengangkat maksimal jaringan abnormal sambil membatasi pengangkatan area normal yang diperlukan untuk fungsi penting pasien. Operasi pada pasien yang sadar sehingga membatasi risiko gejala sisa.
Tindak lanjut operasi
Dalam jangka pendek, pasien yang telah menjalani operasi kepala mungkin mengalami sakit kepala dan nyeri lokal. Gejala-gejala ini dapat dikurangi dengan pengobatan yang sesuai.
Setelah operasi, area yang dioperasi mungkin juga berdarah dan pasien mungkin datang dengan edema otak, wajah dan mata (berhubungan dengan menyusutnya kulit tengkorak); edema ini biasanya hilang setelah seminggu, selama waktu pengobatan khusus dapat ditentukan.
Sangat jarang, infeksi bakteri lokal juga dapat berkembang di area yang dioperasi. Dalam hal ini, pengobatan antibiotik diresepkan.
Kulit biasanya sembuh setelah seminggu. Tulang tengkorak secara bertahap menutup kembali selama beberapa hari hingga beberapa minggu. Rambut tumbuh kembali secara normal dan menutupi bekas luka sepenuhnya setelah beberapa minggu.
Dalam kebanyakan kasus, gejala yang disebabkan oleh tumor sembuh dalam beberapa hari atau bulan. Namun, beberapa mungkin bertahan sebagian atau seluruhnya, sementara atau permanen. Dia sering tidak mungkin untuk memprediksi perkembangan ini.
Juga, meskipun biasanya tidak rumit, operasi otak terkadang dapat menimbulkan gejala sisa. Organ ini memang sangat sulit untuk dioperasikan dan kapasitas pemulihannya yang relatif terbatas. Oleh karena itu, ahli bedah saraf memberi tahu pasien tentang konsekuensi potensial dari operasi yang diusulkan.
Jika gejala sisa muncul setelah operasi, pengobatan dapat dilakukan untuk meringankan atau menguranginya.
2. Radioterapi
Terapi radiasi adalah salah satu perawatan yang paling banyak digunakan dalam pengelolaan tumor otak primer. Menggunakan sinar pengion yang energi tinggi membunuh sel kanker.
Radiasi ini difokuskan pada tumor untuk memusatkan energinya pada sel tumor dan untuk membatasi dampaknya pada jaringan sehat di sekitarnya. Namun, sel-sel sehat di sekitar tumor dapat terpengaruh dan kerusakannya dapat menyebabkan efek samping sementara. Terapi radiasi sering digunakan setelah operasi, sendiri atau dalam kombinasi dengan kemoterapi. Ini juga dapat dipertimbangkan tanpa operasi, sendiri atau dalam kombinasi dengan kemoterapi.
Bagaimanapun, implementasinya mencakup beberapa tahap, yang semuanya disebut rencana perawatan. Pertama, CT atau MRI persiapan dijadwalkan. Pemeriksaan ini memungkinkan ahli radioterapi untuk menentukan dengan tepat bagaimana perangkat radioterapi harus digunakan dan diposisikan selama sesi perawatan dan untuk menghitung dosis total dan jumlah sesi yang akan direncanakan (jadwal penyinaran) untuk menghancurkan tumor sambil mempertahankan area yang sehat sebagai sebaik mungkin. Baca juga: Radioterapi | Terapi Radiasi untuk Kanker | Bagaimana Cara Bekerjanya?
Antara pemeriksaan persiapan ini dan berbagai sesi radioterapi, posisi pasien harus benar-benar identik. Untuk ini, titik penanda (tato atau spidol) dapat berfungsi sebagai titik referensi. Masker kompresi, setelah ditempatkan di kepala, membantu pasien untuk tetap diam selama sesi yang berbeda.
Ada berbagai teknik radioterapi yang digunakan untuk mengirimkan radiasi setepat mungkin ke jaringan tumor:
- radioterapi konformasi tiga dimensi adalah teknik yang paling banyak digunakan saat ini dalam pengobatan tumor otak. Ini mengoptimalkan dosis yang akan diberikan dengan menghitung secara tepat cara memposisikan berkas sinar pada volume yang akan dirawat. Ini menggunakan gambar 3D yang diperoleh dengan pemindai dan / atau MRI;
- radioterapi konformasi dengan modulasi intensitas didasarkan pada prinsip yang sama seperti radioterapi konformasi tiga dimensi. Perbedaannya terletak pada kemampuan perangkat untuk memodulasi intensitas sinar yang dikirim selama sesi yang sama tergantung pada area tumor yang dirawat;
- Radioterapi di bawah kondisi stereotaxic adalah metode terbaru yang memungkinkan terutama untuk mengobati tumor kecil yang terdefinisi dengan baik, terutama ketika mereka sulit diakses melalui pembedahan. Ini menggunakan berkas sinar konvergen yang menyinari tumor dengan presisi milimeter. Dengan demikian dapat memusatkan dosis yang cukup pada massa tumor untuk menghancurkannya. Ketika satu sesi sudah cukup, kita juga berbicara tentang “bedah radio”, penyinaran menggantikan operasi. Untuk tumor tertentu, perawatan ini dilakukan dalam beberapa sesi: kita berbicara tentang radioterapi dalam kondisi stereotaksis hipofraksinasi. Untuk memastikan keakuratan radiasi, kepala pasien dipegang dalam bingkai stereotaxic.
Dalam praktek
Rejimen iradiasi yang paling banyak digunakan saat ini disebut “rejimen fraksinasi klasik”: ini mencakup sesi harian setiap hari dalam seminggu kecuali akhir pekan dan hari libur. Jumlah minggu pengobatan tergantung pada dosis total yang akan diberikan, yang tergantung pada jenis tumor otak. Durasi harian dari sesi tipikal adalah 10 hingga 15 menit. Penyinaran itu sendiri hanya berlangsung beberapa menit, sebagian besar sesi dicadangkan untuk memeriksa posisi perawatan. Lebih jarang, satu sesi radioterapi atau beberapa sesi (dari 3 hingga 10) yang tersebar selama satu atau dua minggu dapat ditawarkan untuk tumor kecil yang kambuh, misalnya.
Efek samping
Beberapa efek samping dapat terjadi dengan iradiasi otak. Dosis radiasi, teknik radioterapi yang digunakan, dan lokasi tumor mempengaruhi terjadinya efek tersebut.
Edema otak dapat terjadi dalam beberapa minggu setelah memulai pengobatan. Itu tidak selalu menimbulkan gejala, tetapi ketika itu terjadi, sakit kepala, mual dan / atau kelelahan dapat terjadi. Terkadang terapi radiasi memperburuk gejala yang sudah ada sebelumnya terkait dengan tumor. Terapi kortikosteroid diresepkan untuk mengatasi edema dan gejala terkait.
Efek samping kedua yang paling umum setelah iradiasi adalah alopecia (rambut rontok). Itu terletak di tingkat area di mana sinar berorientasi. Ini dapat terjadi setelah 2 hingga 3 minggu. Pentingnya tergantung pada dosis yang diberikan oleh setiap balok. Ini mungkin atau mungkin tidak definitif, tergantung pada dosis yang diberikan dan area yang diiradiasi.
Radioterapi otak dapat menyebabkan efek samping lain yang bersifat sementara atau menetap dalam jangka panjang: serangan epilepsi, reaksi kulit, mengantuk, gangguan fungsi kognitif.
Terjadinya dan intensitasnya tergantung pada jenis tumor, lokasinya, dan profil pasien. Sebagian besar waktu, perawatan dapat ditawarkan untuk meringankan atau mengurangi efek ini.
3. Kemoterapi
Kemoterapi adalah pemberian obat yang menghancurkan sel tumor. Kadang-kadang ini adalah satu-satunya pilihan pengobatan yang mungkin, terutama ketika tumor tidak dapat dioperasi.
Ini dapat digunakan sendiri atau dalam kombinasi dengan radioterapi, sebelum atau sesudah operasi. Sebelum operasi, dimungkinkan untuk mengurangi volume tumor untuk memfasilitasi prosedur pembedahan. Setelah operasi, perannya adalah menghancurkan sisa sel kanker.
Kemoterapi juga dapat digunakan bersamaan dengan radioterapi (ini disebut radiokemoterapi bersamaan). Ini kemudian memiliki keuntungan membuat tumor lebih sensitif terhadap efek sinar. Dalam prakteknya, penggunaan kemoterapi dalam pengobatan tumor otak dibatasi oleh kemampuan obat untuk mencapai otak. Memang, hanya molekul tertentu yang berhasil melewati sawar darah-otak.
Kursus kemoterapi
Sebagai aturan umum, protokol kemoterapi berlangsung beberapa minggu: tergantung pada sifat dan stadium tumor, satu atau lebih obat diberikan dalam dosis yang tepat yang terkadang bervariasi dari waktu ke waktu. Molekul yang paling sering digunakan adalah temozolomide, carmustine, fotemustine, procarbazine, platinum, vincristine. Seringkali beberapa siklus pengobatan diperlukan, dengan jarak beberapa hari atau minggu.
Kemoterapi diberikan melalui suntikan atau melalui mulut. Untuk menghindari beberapa tusukan di pembuluh darah pasien, kateter dapat ditempatkan di bawah kulit saat seluruh protokol sedang dilakukan. Tergantung pada kasusnya, tim akan menggunakan kateter yang ujungnya ditanamkan di bawah kulit, terletak setinggi tulang selangka, atau reservoir kecil (ruang implan). Baca juga: Kemoterapi | Penjelasan, Jenis, Tujuan, Berapa lama waktu yang dibutuhkan kemoterapi? Bagaimana kemoterapi diberikan? | Apa Saja Efek Sampingnya?
Efek samping
Efek samping yang ditimbulkan oleh kemoterapi tergantung langsung pada sifat obat yang digunakan: dalam kasus pengobatan tumor otak, terutama penurunan sementara jumlah sel darah merah, sel darah putih atau trombosit dalam darah, yang masing-masing dapat menyebabkan anemia (kelelahan), risiko infeksi atau perdarahan. Dalam kasus lain, pasien mungkin menderita masalah pencernaan (diare, muntah) atau rambut rontok yang berlangsung selama perawatan. Paling sering, efek samping ini dapat dikurangi dengan pengobatan.
4. Implan carmustine (wafer glial)
Cara baru memberikan kemoterapi untuk beberapa tumor tingkat tinggi, di mana implan dimasukkan ke dalam otak. Selama operasi otak untuk mengangkat sebagian besar atau seluruh tumor, hingga 8 implan dimasukkan ke dalam ruang di mana tumor itu berada. Mereka kemudian secara bertahap melepaskan carmustine ke area ini selama 2-3 minggu. Temozolomide (juga dikenal sebagai Temodal) diberikan sebagai tablet untuk mengobati tumor, pertama dengan radioterapi dan kemudian dengan sendirinya.
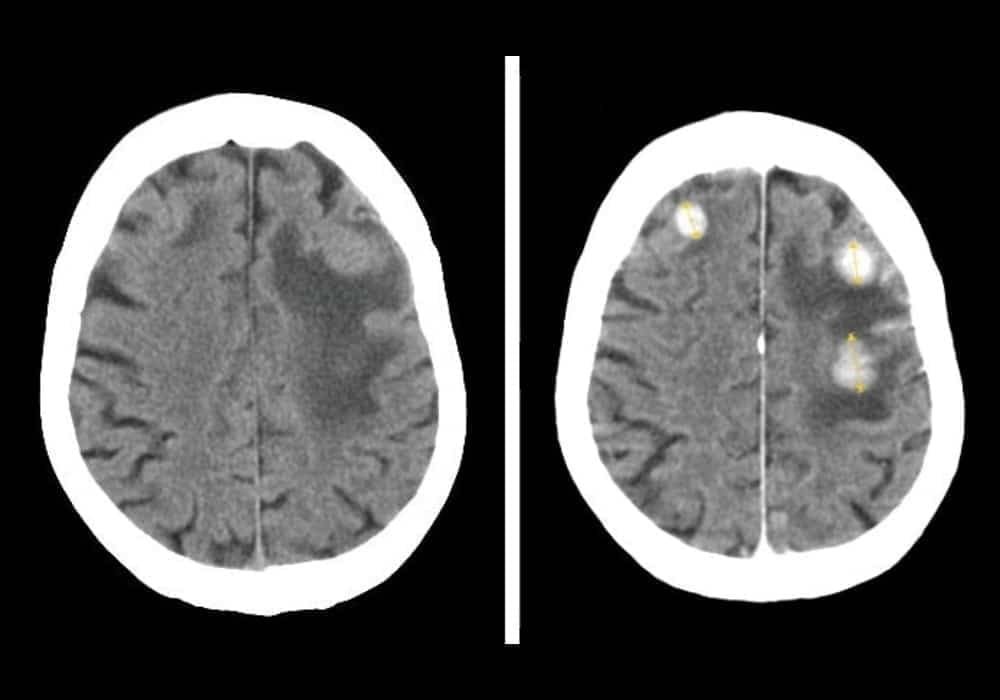
Sumber foto: Wikimedia
Kanker Otak Metastatik
Tumor otak metastatik (menyebar) terbuat dari sel kanker dari tumor di tempat lain di tubuh. Sel menyebar ke otak dari tumor lain dalam proses yang disebut metastasis. Ini adalah jenis tumor otak yang paling umum.
Penyebab Kanker Otak
Seperti tumor di tempat lain di tubuh, penyebab pasti kebanyakan kanker otak tidak diketahui. Faktor genetik, berbagai racun lingkungan, radiasi di kepala, infeksi HIV, dan merokok semuanya dikaitkan dengan kanker ini. Dalam banyak kasus, tidak ada penyebab yang jelas yang dapat ditunjukkan.
Bisakah Kanker Otak Disembuhkan?
Tumor otak stadium I dapat disembuhkan jika diangkat sepenuhnya dengan operasi. stadium II – Sel-sel tumor tumbuh dan menyebar lebih lambat daripada sel-sel tumor stadium III dan IV.
Mereka mungkin menyebar ke jaringan terdekat dan mungkin kambuh (kembali). Tumor stadium IV biasanya tidak bisa disembuhkan. Sumber: Web MD
Apakah ada rasa sakit dengan kanker otak?
Beberapa tumor tidak memiliki gejala sampai mereka cukup besar dan kemudian menyebabkan penurunan kesehatan yang serius dan cepat. Tumor lain mungkin memiliki gejala yang berkembang lambat.
Gejala awal yang umum dari tumor otak adalah sakit kepala. Seringkali, mereka tidak menanggapi obat sakit kepala yang biasa.
Apa itu kanker otak?
Kanker otak adalah penyakit otak di mana sel-sel kanker (sel-sel ganas) muncul dalam jaringan otak. Sel kanker tumbuh membentuk massa jaringan kanker (tumor) yang mengganggu fungsi otak seperti kontrol otot, sensasi, memori, dan fungsi tubuh normal lainnya.
Tumor yang tersusun dari sel-sel kanker disebut tumor ganas, dan yang terdiri dari sel-sel yang terutama bukan kanker disebut tumor jinak. Sel-sel kanker yang berkembang dari jaringan otak disebut tumor otak primer, sedangkan tumor yang menyebar dari situs tubuh lain ke otak disebut tumor otak metastatik atau sekunder.
Peluang selamat dari kanker otak
Prospek tumor otak ganas tergantung pada hal-hal seperti di mana ia berada di otak, ukurannya, dan tingkatannya.
Terkadang dapat disembuhkan jika terdeteksi sejak dini, tetapi tumor otak sering muncul kembali dan terkadang tidak dapat diangkat.
Kanker otak jarang merupakan kanker yang dimulai di otak. Ini hanya terjadi pada 2% dari mereka. Ini sering kali merupakan metastasis dari kanker lain, 25% di antaranya mengarah ke tumor otak. Namun, kanker otak relatif umum terjadi pada anak-anak. Kemungkinan bertahan hidup sangat bergantung pada jenis kanker otak yang dipertimbangkan. Dengan demikian, orang dengan astrocytoma jinak dalam 90% kasus dapat hidup rata-rata 5 tahun sedangkan mereka dengan glioblastoma (tumor agresif) memiliki kelangsungan hidup rata-rata hanya 10 bulan. Secara umum, kelangsungan hidup relatif 5 tahun untuk kanker otak adalah 25%.
Prognosis untuk kanker otak agak buruk. Ini bahkan lebih benar dengan kanker stadium akhir. Namun, jika tumor otak jinak, prognosisnya baik, bahkan jika risiko gejala sisa signifikan. Perhatikan bahwa jika tumor otak merupakan metastasis dari kanker lain, prognosisnya bergantung pada kanker primer.
Jenis Kanker Otak
Terdapat banyak jenis tumor otak yang berbeda. Bergantung pada lokasi, ukuran, dan kecepatan pertumbuhannya, tumor ini tidak menyebabkan gejala yang sama dan tidak memiliki tingkat keparahan yang sama. Tumor otak biasanya dinamai sesuai sel tempat mereka berkembang
Jenis yang paling umum adalah:
-
Astrositoma
Tumor muncul dari sel glial (berfungsi sebagai pendukung kerja sel saraf) berbentuk bintang yang disebut astrosit. Pada orang dewasa, astrositoma paling sering muncul di otak besar.
Astrositoma stadium I atau II: Ini dapat disebut glioma tingkat rendah.
Astrositoma stadium III: Kadang-kadang disebut astrositoma tingkat tinggi atau anaplastik.
Astrositoma stadium IV: Ini bisa disebut glioblastoma atau glioma astrositik ganas.
-
Meningioma
Tumor muncul di meninges. Itu bisa stadium I, II, atau III. Biasanya jinak (stadium I) dan tumbuh perlahan.
Oligodendroglioma: Tumor muncul dari sel yang membuat zat berlemak yang menutupi dan melindungi saraf. Ini biasanya terjadi di otak besar. Ini paling umum pada orang dewasa paruh baya. Itu biasanya stadium II atau III.
-
Neuroma akustik (schwannomas)
Ini adalah tumor jinak yang berkembang pada saraf yang mengontrol keseimbangan dan pendengaran yang mengarah dari telinga bagian dalam ke otak Anda.
-
Adenoma hipofisis
Ini adalah sebagian besar tumor jinak yang berkembang di kelenjar hipofisis di dasar otak. Tumor ini dapat mempengaruhi hormon hipofisis dengan efek di seluruh tubuh.
Tumor neuroectodermal primitif (PNET): Ini adalah tumor kanker yang jarang yang dimulai pada sel embrionik (janin) di otak. Mereka dapat terjadi di mana saja di otak.
-
Craniopharyngioma
Tumor non-kanker yang langka ini mulai di dekat kelenjar hipofisis otak, yang mengeluarkan hormon yang mengontrol banyak fungsi tubuh. Ketika craniopharyngioma perlahan-lahan tumbuh, itu dapat mempengaruhi kelenjar pituitari (organ kecil yang berada di bawah otak, berfungsi menghasilkan beberapa hormon prolaktin dan luteinising. Hormon yang pertama bertugas merangsang produksi susu setelah melahirkan. Sementara, hormon luteinising bertugas merangsang ovulasi pada wanita dan produksi testosteron pada pria) dan struktur lain di dekat otak.
-
Glioma
Ini adalah kanker yang paling terkenal, disebut demikian karena sel yang rusak adalah sel glial yang ditemukan di sekitar neuron. Klasifikasi tersebut memperhitungkan tingkat agresivitas. Ada beberapa jenis, dari I hingga IV, yang pertama paling tidak agresif.
-
Glioblastoma
“Ini glioma stadium IV, yang paling agresif dan paling luas. Perawatan yang dikenal saat ini tidak memungkinkan penyakit ini disembuhkan. Hanya dengan kemoterapi dan radioterapi untuk memperpanjangnya. harapan hidup pada satu tahun, satu setengah tahun”.
-
Meningioma
Meningioma mempengaruhi sel-sel di meninges dan dapat dilokalisasi di sekitar otak dan sumsum tulang belakang. Bentuk meningioma yang paling umum adalah jinak, dan prognosisnya baik. Ada juga “bentuk ganas yang memerlukan perawatan bedah dan radioterapi”.
-
Medulloblastoma
Ini adalah lesi ganas di sumsum tulang belakang dan otak kecil. Lesi tumor ini muncul terutama pada anak-anak dan remaja. “Sebagai gejalanya, ini menyebabkan hipertensi intrakranial, gangguan berjalan dan keseimbangan. Ada perawatan khusus dan kemungkinan penyembuhan tergantung pada tahap intervensi”.
-
Adenoma hipofisis
Ini adalah tumor jinak yang paling sering berkembang di kelenjar pituitari. “Kelenjar ini, yang terletak di belakang kiasma optik, di fossa hipofisis tulang sphenoid, mengandung sel-sel yang menghasilkan hormon yang mengatur aktivitas beberapa organ. Adenoma hipofisis kemudian dapat menyebabkan ketidakseimbangan hormon. adenoma pengobatannya akan medis atau bedah. Adenoma hipofisis sebagian besar merupakan lesi jinak. Jika mereka ganas, prognosisnya bagus jika dirawat tepat waktu ”jelas dokter.
-
Limfoma serebral
Limfoma serebral terutama menyerang pasien yang mengalami gangguan sistem kekebalan dan orang yang berusia di atas 60 tahun. “Pengobatannya tidak dilakukan di mana-mana, karena memerlukan pemantauan ketat, kemoterapi berat. Beberapa pasien dapat mengalami remisi yang sangat lama dan ada banyak kekambuhan. Spesialis sedang mempelajari perawatan lanjutan menggunakan sel punca. untuk meningkatkan prognosis, yang masih kurang baik untuk saat ini “Survival lebih penting pada orang muda.
Daftar Jenis Kanker-Kanker Lainnya
Kanker bisa dimulai di tempat manapun di tubuh. Ini dimulai saat sel-sel tumbuh di luar kendali dan kerumunan sel normal. Hal ini membuat tubuh sulit bekerja sebagaimana mestinya. Memahami penyakit kanker dapat membantu Anda untuk mengenal lebih jelas “seperti apakah kanker itu?” Klik disini dan baca artikel pemahaman penyakit kanker ini sampai habis bersama contoh-contohnya!
Bacaan Lainnya
- Penanda Tumor | Tumor Marker | Apa Saja Tes Penanda Tumor untuk Deteksi Kanker? Hal-Hal yang Perlu Anda Ketahui
- Sebagian cabang biologi: Onkologi – mempelajari proses / tentang kanker
- Pemahaman Kanker: Mengenal Dasar-Dasar, Contoh Kanker, Bentuk, Klasifikasi, Sel dan Pemahaman Penyakit Kanker Lebih Jelas
- Bagian Utama otak mengendalikan berbagai aktivitas – Bagian Lobus Otak dan Fungsinya
- Apakah Produk Pembalut Wanita Aman?
- Penyakit Difteri Penularan, Penyebab, Gejala, Perawatan dan Pencegahan
- Penyakit Kusta Penularan, Penyebab, Gejala, Perawatan dan Pencegahan
- Sakit Punggung: Penyebab, gejala, pencegahan dan perawatan
- Penyebab Dan Cara Mengatasi Iritasi Atau Lecet Akibat Pembalut Wanita
- Sistem Reproduksi Manusia, Hewan dan Tumbuhan
- Cara Mengenal Karakter Orang Dari 5 Pertanyaan Berikut Ini
- Kepalan Tangan Menandakan Karakter Anda & Kepalan nomer berapa yang Anda miliki?
Unduh / Download Aplikasi HP Pinter Pandai
Respons “Ooo begitu ya…” akan lebih sering terdengar jika Anda mengunduh aplikasi kita!
Siapa bilang mau pintar harus bayar? Aplikasi Ilmu pengetahuan dan informasi yang membuat Anda menjadi lebih smart!
Sumber bacaan: Cleverly Smart, NHS (UK), Cancer Research UK, Web MD, National Cancer Institute, Yale University
Pinter Pandai “Bersama-Sama Berbagi Ilmu”
Quiz | Matematika | IPA | Geografi & Sejarah | Info Unik | Lainnya | Business & Marketing

